•60 yo woman with few year history LLL lesion
•Full-time
care-giver to disabled son
•2-cm
liner lesion Left Lower Lid with a central groove
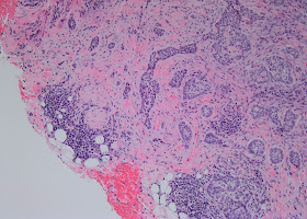
•3 mm
punch bx:
nodular & infiltrative BCC
Clinical Images:
Diagnosis: Linear Basal Cell Carcinoma
Presented for interest and comments.
References:
•Linear
basal cell carcinoma occurs most commonly on the lower eyelid G L Becher, et. al. Clin Exp Dermatol. 2011 Apr;36(3):311-2.
•Linear
basal cell carcinoma: a distinct condition? Al-Niaimi, C C
Lyon. Clin Exp
Dermatol. 2011 Apr;36(3):231-4.
•Linear
Basal cell carcinoma in an asian patien. Kinoshita Shinsuke et. al. Open Ophthalmol J. 2007 Dec 17;1:20 Free Full Text PMC




No comments:
Post a Comment
We welcome your comments. We endeavor to serve your patients and you. If you want us to respond, please add your name and email address. Some people have trouble uploading comments. In that case, please send comments directly to djelpern@gmail.com. Thank you.