O/E: Light complected Caucasian with 6 mm in diameter black papule right anterior thigh. The dermatoscopic appearance shows a somewhat starburst appearance at the periphery.
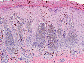
Photomicrographs (courtesy of Deon Wolpowitz, Boston University Skin Path)
Diagnosis: Clinically and dermatoscopically and pathologically, this is a Reed Nevus.
Plan: The lesion has been excised with modest margins..
Reference:
Dermatol Pract Concept. 2016
Apr 30;6(2):37-41. (Full Text)
Spitz/Reed nevi: a review of
clinical-dermatoscopic and histological correlation.
Pedrosa AF et. al.
Abstract
BACKGROUND: Spitz/Reed nevi
are melanocytic lesions that may mimic melanoma at clinical, dermatoscopic and
histopathological levels. Management strategies of these lesions remain
controversial.
OBJECTIVES:
We aim a correlation among
clinical-dermatoscopic and histological features of a series of Spitz/Reed nevi
diagnosed during 7 years at the Department of Dermatology.
METHODS: Clinical,
dermatoscopic and histological features of Spitz/Reed nevi diagnosed at our
tertiary hospital from 2008 to 2014 were reviewed in order to seek correlation.
RESULTS: All described
dermatoscopic patterns for Spitz/Reed nevi were found among the 47 enrolled
patients; starburst and atypical/multicomponent patterns prevailed (57.4%).
Reticular pattern predominated among children younger than 12 years, whereas
homogeneous pattern was more frequent in patients older than 12 years, although
these differences were not statistically significant (P=0.785). Among
histological atypical lesions, all dermatoscopic patterns were represented, but
the atypical/multicomponent predominated (56.3%). Two out of 11
dermatoscopically atypical lesions did not show histopathological counterpart.
CONCLUSIONS: The excision of
Spitz/Reed nevi in adults is supported, given the inability to accurately
predict those with histopathological atypia, based on clinical and
dermatoscopic features, which may raise concern about malignancy.
ss


No comments:
Post a Comment
We welcome your comments. We endeavor to serve your patients and you. If you want us to respond, please add your name and email address. Some people have trouble uploading comments. In that case, please send comments directly to djelpern@gmail.com. Thank you.